

Każdy może mieć piękniejsze zęby. Gabinet oferuje m.in. odbudowy kosmetyczne, licówki kompozytowe, czyszczenie zębów z kamieni i osadów

Nowoczesne metody pozwalają już leczyć próchnicę na wczesnym etapie bez borowania i bez bólu.

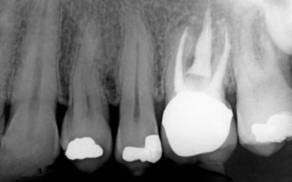
Leczenie kanałowe pozwala na uratowanie zębów, które w przeciwnym razie trzeba by wyrwać

Leczenie dzieci, wizyty profilaktyczne oraz zabiegi wzmacniające zęby i pozwalające uniknąć próchnicy







